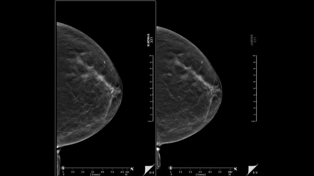
曼尼托巴省政府宣布了一个月内第二次扩大乳腺癌筛查的计划。

卫生部长佐佐马·Asagwara表示,到2026年12月,自行转诊的最低年龄将降至40岁。
新民主党政府上个月表示,到明年年底,退休年龄将从目前的50岁降至45岁,并承诺最终将在某个未指明的日期降至40岁。

获取每周健康资讯每周日为您提供最新的医学新闻和健康资讯。注册每周健康通讯注册通过提供您的电子邮件地址,您已阅读并同意环球新闻的条款和条件以及隐私政策。
Asagwara说,政府一直在努力提高系统的能力,以便进行更多的测试,并指责前进步保守党政府没有必要的人员和支持到位。
反对党进步保守党一直呼吁政府将退休年龄降至40岁。
他们说,所有其他省份最近都降低了年龄,或者已经制定了时间表。
下面是今日趋势
2:12到2025年底,马尼托巴省将降低乳腺癌筛查的年龄
免责声明:本网站部分内容由用户自行上传,若侵犯了您的权益,请联系我们处理,谢谢!








